• Home
  • About
  • Contact
    • Epithelial Tissues
    • Connective Tissues
    • Muscle, Nervous, Exocrine
    • Integumentary
    • Bone Anatomy
    • Muscle Anatomy
    • Nervous System
    • Spinal Cord
    • Sensory Receptors
    • Endocrine System
    • Blood
    • Lymphatic System
    • Respiratory System
    • Digestive System
    • Urinary System
    • Reproductive System
    • Vessels and Circulation
  • Cell, Membrane, & Mitosis Video
  • Anatomical Sections & Directions Video
  • Skin Models Video
    • Bone and Bone Models
    • Cranial Bones
    • Facial Bones
    • Skull Foramen
    • Vertebrae Overview
    • Bones of the Upper Limb
    • The Upper Limb: Right vs Left
    • Bones of the Lower Limb
    • The Pelvis: Male vs Female
    • Bones of the hands and feet
    • Muscle overview and models
    • Muscles of the Face
    • Muscles of the Upper Limb
    • Muscles of the Lower Limb
    • Muscles of the Torso
    • Brain anatomy and pinning
    • Neuron Model
    • The Spinal Cord
    • Plexus and selected Nerves
    • Spinal Pathways
    • Eye anatomy and pinning
    • Special Senses: Ear and Eye
    • The Ventricles of the Brain
    • The Limbic System
    • Cranial Nerves
    • Cranial Nerves, Brain
    • Cranial Nerves: Skull Pathways
    • heart anatomy
    • Cardiac conduction and Circulation
    • Pulmonary and Hepatic Circulation
    • Blood Vessel Anatomy
    • fetal circulation
    • The Great Vessels
    • Anatomy of a Lymph Node
    • The Pituitary Gland
    • Thyroid, Parathyroids, & Thymus
    • Pancreas, Kidneys, and Adrenal Glands
    • Digestive System, An Overview
    • Digestive organs of the Head and Neck
    • The Stomach
    • Liver, Pancreas, and Gallbladder
    • General Digestive Histology
    • Anatomy of the Respiratory System
    • Kidney Pinning
    • anatomy of the urinary system
    • Heart Pinning
    • Brain Pinning
    • Eye Pinning
    • Kidney Pinning

See Why Anatomy

  • Home
  • About
  • Contact
  • Tissue Drawings
    • Epithelial Tissues
    • Connective Tissues
    • Muscle, Nervous, Exocrine
  • Slides
    • Integumentary
    • Bone Anatomy
    • Muscle Anatomy
    • Nervous System
    • Spinal Cord
    • Sensory Receptors
    • Endocrine System
    • Blood
    • Lymphatic System
    • Respiratory System
    • Digestive System
    • Urinary System
    • Reproductive System
    • Vessels and Circulation
  • Cell, Membrane, & Mitosis Video
  • Anatomical Sections & Directions Video
  • Skin Models Video
  • Skeletal System Videos
    • Bone and Bone Models
    • Cranial Bones
    • Facial Bones
    • Skull Foramen
    • Vertebrae Overview
    • Bones of the Upper Limb
    • The Upper Limb: Right vs Left
    • Bones of the Lower Limb
    • The Pelvis: Male vs Female
    • Bones of the hands and feet
  • Muscular System Videos
    • Muscle overview and models
    • Muscles of the Face
    • Muscles of the Upper Limb
    • Muscles of the Lower Limb
    • Muscles of the Torso
  • Nervous system videos
    • Brain anatomy and pinning
    • Neuron Model
    • The Spinal Cord
    • Plexus and selected Nerves
    • Spinal Pathways
    • Eye anatomy and pinning
    • Special Senses: Ear and Eye
    • The Ventricles of the Brain
    • The Limbic System
    • Cranial Nerves
    • Cranial Nerves, Brain
    • Cranial Nerves: Skull Pathways
  • Cardiovascular & Circulatory System Videos
    • heart anatomy
    • Cardiac conduction and Circulation
    • Pulmonary and Hepatic Circulation
    • Blood Vessel Anatomy
    • fetal circulation
    • The Great Vessels
    • Anatomy of a Lymph Node
  • Endocrine System Videos
    • The Pituitary Gland
    • Thyroid, Parathyroids, & Thymus
    • Pancreas, Kidneys, and Adrenal Glands
  • Digestive System Videos
    • Digestive System, An Overview
    • Digestive organs of the Head and Neck
    • The Stomach
    • Liver, Pancreas, and Gallbladder
    • General Digestive Histology
  • Respiratory System Videos
    • Anatomy of the Respiratory System
  • Urinary System Videos
    • Kidney Pinning
    • anatomy of the urinary system
  • Organ Pinning Videos
    • Heart Pinning
    • Brain Pinning
    • Eye Pinning
    • Kidney Pinning
Pituitary 40X
Pituitary 40X
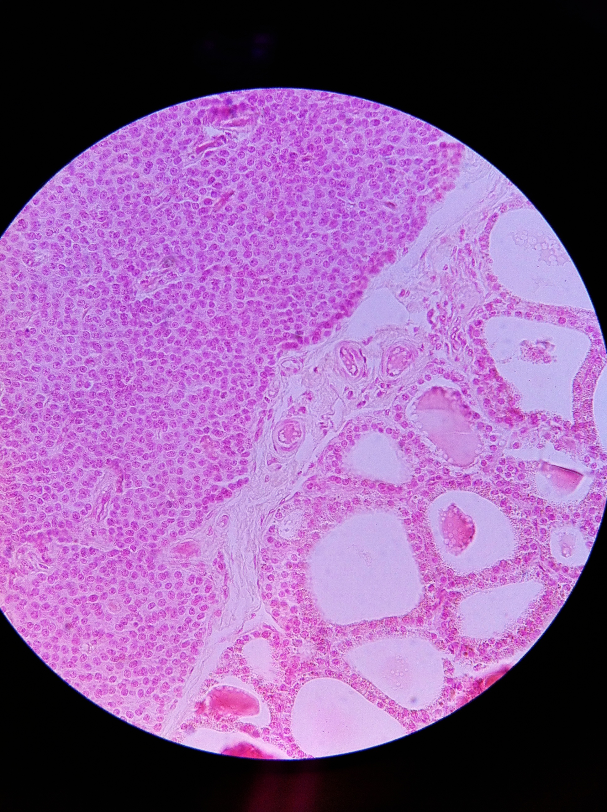
Ant. Pituitary 400X
Ant. Pituitary 400X
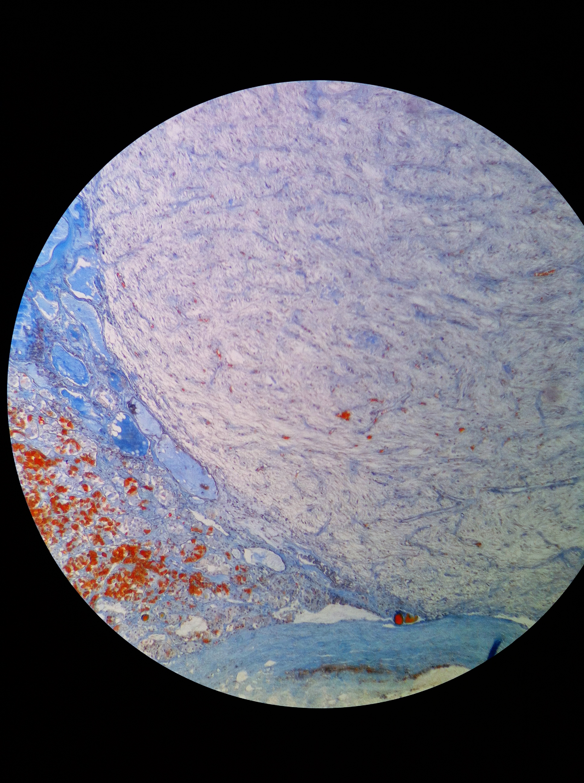
Post. Pituitary 100X
Post. Pituitary 100X
Pineal Gland 100X
Pineal Gland 100X
Pineal Sand 100X
Pineal Sand 100X
Pineal Sand 400X
Pineal Sand 400X
Parathyroid and Thyroid 400X
Parathyroid and Thyroid 400X
Thyroid 400X
Thyroid 400X
Parathyroid 400X
Parathyroid 400X
Adrenal Cortex 40X
Adrenal Cortex 40X
Adrenal Cortex 100X
Adrenal Cortex 100X
Pancreatic Islet 100X
Pancreatic Islet 100X
Pancreatic Islet 400X
Pancreatic Islet 400X
Pituitary 40X Ant. Pituitary 400X Post. Pituitary 100X Pineal Gland 100X Pineal Sand 100X Pineal Sand 400X Parathyroid and Thyroid 400X Thyroid 400X Parathyroid 400X Adrenal Cortex 40X Adrenal Cortex 100X Pancreatic Islet 100X Pancreatic Islet 400X

See Why Anatomy

  • Home
  • About
  • Contact
    • Epithelial Tissues
    • Connective Tissues
    • Muscle, Nervous, Exocrine
    • Integumentary
    • Bone Anatomy
    • Muscle Anatomy
    • Nervous System
    • Spinal Cord
    • Sensory Receptors
    • Endocrine System
    • Blood
    • Lymphatic System
    • Respiratory System
    • Digestive System
    • Urinary System
    • Reproductive System
    • Vessels and Circulation
  • Cell, Membrane, & Mitosis Video
  • Anatomical Sections & Directions Video
  • Skin Models Video
    • Bone and Bone Models
    • Cranial Bones
    • Facial Bones
    • Skull Foramen
    • Vertebrae Overview
    • Bones of the Upper Limb
    • The Upper Limb: Right vs Left
    • Bones of the Lower Limb
    • The Pelvis: Male vs Female
    • Bones of the hands and feet
    • Muscle overview and models
    • Muscles of the Face
    • Muscles of the Upper Limb
    • Muscles of the Lower Limb
    • Muscles of the Torso
    • Brain anatomy and pinning
    • Neuron Model
    • The Spinal Cord
    • Plexus and selected Nerves
    • Spinal Pathways
    • Eye anatomy and pinning
    • Special Senses: Ear and Eye
    • The Ventricles of the Brain
    • The Limbic System
    • Cranial Nerves
    • Cranial Nerves, Brain
    • Cranial Nerves: Skull Pathways
    • heart anatomy
    • Cardiac conduction and Circulation
    • Pulmonary and Hepatic Circulation
    • Blood Vessel Anatomy
    • fetal circulation
    • The Great Vessels
    • Anatomy of a Lymph Node
    • The Pituitary Gland
    • Thyroid, Parathyroids, & Thymus
    • Pancreas, Kidneys, and Adrenal Glands
    • Digestive System, An Overview
    • Digestive organs of the Head and Neck
    • The Stomach
    • Liver, Pancreas, and Gallbladder
    • General Digestive Histology
    • Anatomy of the Respiratory System
    • Kidney Pinning
    • anatomy of the urinary system
    • Heart Pinning
    • Brain Pinning
    • Eye Pinning
    • Kidney Pinning
twitter